I refrigeratori d’acqua di precisione sono comunemente utilizzati nelle applicazioni ospedaliere e di laboratorio. Tra le applicazioni fondamentali in cui si ricorre ai refrigeratori d’acqua di precisione vi è la gestione del carico termico negli scanner per risonanza magnetica per immagini (MRI) e tomografia computerizzata (CT). Tra i principali produttori di scanner per MRI e TC vi sono: Siemens, Toshiba, Philips e GE.
I refrigeratori d’acqua vengono impiegati nei laboratori anche per tenere sotto controllo la temperatura in una serie di applicazioni. Tra queste vanno ricordate: evaporazione rotante, rivestimento dei recipienti di reazione, pompe a diffusione, sistemi laser, microscopi elettronici e acceleratori lineari.
RISONANZA MAGNETICA PER IMMAGINI
Cosa è lo scanner per MRI?
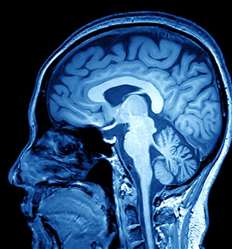
L’MRI (risonanza magnetica per immagini) è una tecnologia di scansione non invasiva che produce immagini del corpo elaborate in sezione trasversale. Viene utilizzata in diversi ambiti medici, tra cui: diagnosi muscoloscheletriche, gastrointestinali, oncologiche, cardiovascolari e neuroimaging. La scansione MRI è in grado di differenziare le strutture dei tessuti molli su qualsiasi piano, rivelandosi un prezioso strumento diagnostico.
Gli scanner per MRI generano un forte campo magnetico che, utilizzato in combinazione con la corrente a radiofrequenza, stimola molecole specifiche del corpo.
Il comportamento di tali molecole consente di generare un’immagine tridimensionale dei tessuti corporei. Di seguito sono mostrate alcune immagini ottenute con MRI:


PROCEDURE DI BASE DELL'MRI ED ESIGENZE DI RAFFREDDAMENTO
Tutti gli scanner per MRI sono dotati di bobine magnetiche superconduttive. Queste bobine devono essere raffreddate fino a -296 °C per stimolare le proprietà superconduttive delle leghe metalliche. Una temperatura così bassa viene raggiunta facendo circolare elio liquido attorno alle bobine magnetiche.
Uno scanner per MRI di dimensioni medie contiene circa 1.700 l di elio. Un dispositivo meccanico denominato “testa fredda” permette di limitare le perdite di elio. Questo dispositivo fa sì che l’elio allo stato gassoso si condensi nuovamente, tornando allo stato liquido dopo essere entrato a contatto con i magneti.
Una testa fredda efficiente è in grado di ridurre nel tempo le perdite di elio gassoso e garantire il corretto funzionamento dei magneti.
Di seguito viene mostrato un diagramma di un circuito con testa fredda:

Oltre a tenere sotto controllo la temperatura ambiente attorno allo scanner per MRI, occorre eliminare il calore prodotto in diversi processi durante il funzionamento della macchina. Tra questi vi sono:
- Un compressore per elio viene utilizzato in combinazione con una testa fredda per comprimere l’elio gassoso prima che venga messo nuovamente in circolo attorno al magnete MRI. Il carico termico proveniente dal motore del compressore deve essere eliminato per garantire una costante efficienza del circuito ad elio.
- Amplificatori e armadio RF generano calore elettrico che è necessario eliminare dai componenti elettronici.
- Il raffreddamento diretto attorno alle bobine magnetiche consente di eliminare il calore ambiente e migliorare l’efficienza di raffreddamento del magnete (di pari passo con il controllo HVAC della temperatura ambiente).
I refrigeratori possono essere integrati nel sistema MRI per assicurare la capacità di raffreddamento secondo diverse modalità. Nella maggior parte dei casi, il refrigeratore si usa in abbinamento ad un armadio per scambiatori di calore (HEC) posizionato nella sala operativa (separata rispetto alla sala magneti). L’HEC sfrutta gli scambiatori di calore, che possono essere collegati all’alimentazione dell’acqua attraverso il refrigeratore. In tal modo, sono diverse le applicazioni che beneficiano indirettamente del refrigeratore.
Di seguito è fornito uno schema esemplificativo dell’HEC:

SCANSIONE TOMOGRAFICA COMPUTERIZZATA
Cosa è lo scanner per tomografia computerizzata?
La tomografia computerizzata (detta anche tomografia assiale computerizzata, TAC) è una procedura di scansione che utilizza i raggi X per produrre immagini del corpo elaborate in sezione trasversale. Le immagini offrono molti più dettagli delle strutture corporee rispetto ai raggi X standard. A causa dei numerosi disturbi e delle patologie che è possibile diagnosticare, negli ospedali è sempre elevata la richiesta di scansioni CT.
Lo scanner per CT utilizza tubi a raggi X motorizzati che si muovono intorno al paziente. I raggi X attraversano il paziente e vengono catturati dai rilevatori, che inviano i dati a un computer per la loro elaborazione.
PERCHÉ SONO NECESSARI I REFRIGERATORI D'ACQUA DI PRECISIONE
Gli scanner per CT generano un carico termico notevole durante il funzionamento. I componenti elettrici e i tubi a raggi X dei moderni scanner consumano oltre 95 kW di potenza. Il calore in eccesso dello scanner deve essere eliminato al termine di ogni scansione per consentire l’avvio della successiva.
I tubi a raggi X impiegano dai 20 ai 30 minuti per raffreddarsi a sufficienza in assenza di raffreddamento. Un refrigeratore d’acqua è in grado di ridurre sensibilmente i tempi di raffreddamento ed evitare il surriscaldamento dello scanner. A trarne beneficio sono il volume di pazienti, il servizio offerto e l’efficienza ospedaliera. Si riduce inoltre il ricordo a interventi di manutenzione non necessari connessi con il surriscaldamento di processo, con il risultato di una diminuzione dei costi operativi totali.
PERCHÉ SCEGLIERE I REFRIGERATORI PARKER
I refrigeratori Hyperchill e Hyperchill Plus garantiscono un funzionamento sicuro e affidabile in diverse condizioni operative, comprese quelle tipiche delle fabbriche di birra e delle distillerie.
Le caratteristiche di progetto dei prodotti Parker assicurano notevoli vantaggi agli utenti finali nell’industria della birra e della distillazione. Le caratteristiche principali e i vantaggi per l’industria sono i seguenti:
- La configurazione di un serbatoio dell’acqua di dimensioni generose, abbinato a un condensatore / evaporatore sovradimensionato, consente al refrigeratore di mantenere la propria capacità di raffreddamento anche in caso di cambi repentini del carico e della temperatura dell’acqua.
- L’elevata affidabilità e la gestione energetica riducono il costo totale di proprietà.
- Le opzioni di bassa temperatura dell’acqua disponibili (fino a -10 °C) ottimizzato il raffreddamento.
- Il pannello in acciaio inox e l’elevato grado di protezione IP facilitano il funzionamento negli ambienti umidi delle fabbriche di birra.
- I refrigeratori sono pienamente compatibili con le miscele acqua-glicole, rivelandosi ideali per applicazioni impegnative come il raffreddamento del mosto.