Les refroidisseurs à eau de précision sont couramment utilisés dans les hôpitaux et les laboratoires. Les principales applications de ces refroidisseurs incluent la gestion de la charge thermique dans les scanners d’imagerie par résonance magnétique (IRM) et de tomographie assistée par ordinateur (CT). Parmi les principaux fabricants de scanners IRM et CT, nous pouvons citer : Siemens, Toshiba, Philips et GE.
Les refroidisseurs à eau sont également utilisés en laboratoire pour contrôler la température dans une large gamme d’applications. Celles-ci incluent : évaporateurs rotatifs, cuves de réaction à double paroi, pompes de diffusion, systèmes laser, microscopes électroniques et accélérateurs linéaires.
Imagerie par résonance magnétique
Qu’est-ce qu’un scanner IRM ?
L’IRM (imagerie par résonance magnétique) est une technologie d’imagerie non invasive qui produit des images en coupe du corps. Elle est utilisée dans de nombreuses applications médicales, notamment : imagerie musculo-squelettique, gastro-intestinale, oncologique, cardiovasculaire et neurologique. L’IRM peut différencier les structures des tissus mous sur tous les plans, ce qui en fait un outil de diagnostic précieux.
Les scanners IRM génèrent un champ magnétique fort qui, combiné à des courants de radiofréquence, stimule des molécules spécifiques dans le corps.
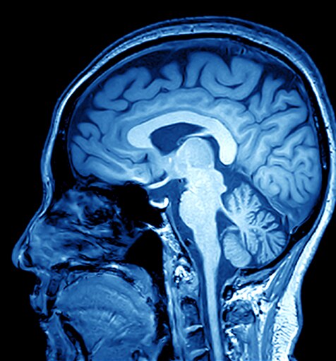
Le comportement de ces molécules permet de générer une image en trois dimensions des tissus corporels. Voici quelques exemples d’images obtenus par IRM :


FONCTIONNEMENT BASIQUE ET EXIGENCES EN MATIÈRE DE REFROIDISSEMENT DE L'IRM
Tous les scanners IRM contiennent des bobines magnétiques supraconductrices. Ces bobines doivent être refroidies à environ -296 °C pour favoriser les propriétés supraconductrices des alliages métalliques. Cette température basse est obtenue en faisant circuler de l’hélium liquide autour des bobines.
Un scanner IRM moyen contient environ 1 700 L d’hélium. Un dispositif mécanique appelé tête froide permet de minimiser la perte d’hélium. Il recondense l’hélium gazeux après le contact avec les aimants.
Une tête froide efficace réduit la perte d’hélium gazeux au fil du temps et préserve l’efficacité des aimants.
Voici un schéma du circuit de la tête froide :

Outre contrôler la température ambiante autour du scanner IRM, il faut éliminer la chaleur de plusieurs processus pendant le fonctionnement de la machine. Il s’agit notamment des processus suivants :
- Un compresseur à hélium est utilisé avec la tête froide afin de comprimer l’hélium gazeux avant sa recirculation vers les aimants. Il faut éliminer la charge thermique du moteur du compresseur afin de préserver l’efficacité du circuit d’hélium.
- L’armoire RF et les amplificateurs génèrent de la chaleur au niveau des composants électroniques, qui doit être éliminée.
- Le refroidissement direct autour des bobines magnétiques permet d’éliminer la chaleur ambiante et d’améliorer l’efficacité du refroidissement des aimants (en complément du contrôle CVC de la température de la pièce).
Des refroidisseurs peuvent être intégrés au système IRM pour assurer plusieurs types de refroidissement. Le plus souvent, le refroidisseur est associé à une armoire d’échange thermique (HEC) située dans la salle d’équipement (séparée de la salle des aimants). La HEC utilise des échangeurs thermiques qui peuvent être connectés à l’alimentation en eau du refroidisseur. Plusieurs applications sont alors refroidies indirectement par le refroidisseur.
Voici un exemple d’installation de HEC :

TOMOGRAPHIE ASSISTÉE PAR ORDINATEUR
Qu’est-ce qu’un scanner de tomographie assistée par ordinateur ?
La tomographie assistée par ordinateur (CT, ou tomodensitométrie, TDM) est une technique d’imagerie qui utilise des rayons X pour produire des images en coupe du corps. Ces images montrent plus en détail les structures corporelles que les radiographies standard. La demande d’analyses par CT est forte en milieu hospitalier, en raison des nombreuses maladies et conditions qu’elles permettent de diagnostiquer.
Le scanneur CT utilise des tubes à rayons X motorisés qui se déplacent autour du patient. Les rayons X qui traversent le patient sont captés par des détecteurs qui envoient les données à l’ordinateur pour traitement.
POURQUOI UTILISER DES REFROIDISSEURS À EAU DE PRÉCISION ?
Le fonctionnement des scanners CT génère une importante charge thermique. Les composants électriques et les tubes à rayons X des scanners modernes consomment plus de 95 kW de puissance. La chaleur excessive dans le portique du scanner doit être éliminée à la fin de l’analyse afin de pouvoir passer à l’analyse suivante.
Le fonctionnement des scanners CT génère une importante charge thermique. Les composants électriques et les tubes à rayons X des scanners modernes consomment plus de 95 kW de puissance. La chaleur excessive dans le portique du scanner doit être éliminée à la fin de l’analyse afin de pouvoir passer à l’analyse suivante.
POURQUOI CHOISIR LES REFROIDISSEURS PARKER ?
Les refroidisseurs Hyperchill et Hyperchill Plus garantissent un fonctionnement sûr et fiable dans diverses conditions de travail, telles que celles généralement rencontrées dans les secteurs de la brasserie et de la distillation.
Les caractéristiques de conception des produits Parker peuvent fournir des avantages considérables aux utilisateurs finaux des secteurs de la brasserie et de la distillation. Les caractéristiques et les avantages clés pour ces secteurs sont les suivants :
- Configuration associant un réservoir d’eau de grande capacité à un condenseur/évaporateur de grande taille pour maintenir la capacité de refroidissement même en cas de changements rapides de la charge et de la température de l’eau.
- Fiabilité élevée et gestion énergétique pour réduire le coût total de possession.
- Options à basse température d’eau (jusqu’à -10 °C) pour un meilleur refroidissement.
- Panneau en acier inoxydable et IP élevé pour un fonctionnement simplifié en environnement humide.
- Refroidisseurs entièrement compatibles avec le mélange glycol/eau pour les applications exigeantes comme le refroidissement du moût.