Präzisions-Kaltwassersätze kommen in zahlreichen klinischen und Laboranwendungen zum Einsatz. Wichtige Anwendungen für Präzisions-Kaltwassersätze sind u. a. das Wärmelastmanagement bei Magnetresonanz- (MRT) und Computertomographie (CT)-Scannern. Zu den größten Herstellern von MRT- und CT-Scannern zählen Siemens, Toshiba, Philips und GE.
Kaltwassersätze werden auch in Labors zur Steuerung der Temperatur in zahlreichen Anwendungen eingesetzt. Diese umfassen die Rotationsverdampfung, Ummantelung von Reaktionsgefäßen, Diffusionspumpen, Lasersysteme, Elektronenmikroskope und Linearbeschleuniger.
MAGNETRESONANZTOMOGRAPHIE
Was ist ein MRT-Scanner?
Die MRT (Magnetresonanztomographie) ist eine nicht-invasive Scan-Technologie, die Schnittaufnahmen des Körpers produziert. Sie kommt in einer Reihe von medizinischen Fachgebieten zum Einsatz, z. B.: Muskel-Skelett-Erkrankungen, Gastroenterologie, Onkologie, Herz- und Gefäßheilkunde und neurologische Bildgebung. MRT-Scans können Weichgewebestrukturen in beliebigen Ebenen differenzieren, was sie zu einem unverzichtbaren Diagnosewerkzeug macht.
MRT-Scanner erzeugen ein starkes Magnetfeld, das in Verbindung mit Hochfrequenzströmen verwendet wird, um spezifische Moleküle im Körper anzuregen.
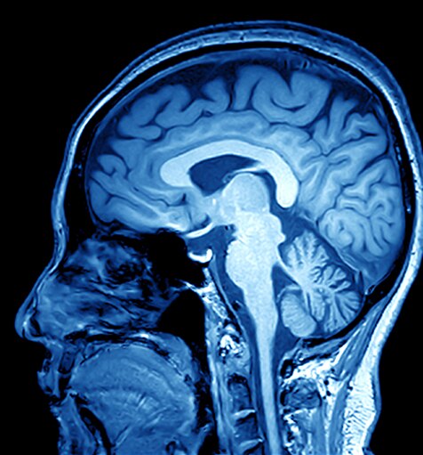
Anhand des Verhaltens dieser Moleküle kann ein dreidimensionales Bild von Körpergewebe erzeugt werden. Beispiele für MRT-Bilder finden Sie nachstehend:


Grundlegende Betriebs- und Kühlungsanforderungen für MRT
Alle MRT-Scanner enthalten supraleitende Magnetspulen. Diese Spulen müssen auf ca. -296 Grad Celsius heruntergekühlt werden, um die supraleitenden Eigenschaften der Metalllegierungen zu bewahren. Die niedrige Kühlungstemperatur wird erreicht, indem flüssiges Helium um die Magnetspulen zirkuliert.
Ein MRT-Scanner durchschnittlicher Größe enthält ca. 1700 Liter Helium. Eine mechanische Vorrichtung, die als Kaltkopf bezeichnet wird, dient zur Minimierung des Heliumverlusts. Das Gerät kondensiert gasförmiges Helium nach dem Kontakt mit den Magneten wieder zu flüssigem Helium.
Ein effizienter Kaltkopf minimiert den Verlust von gasförmigem Helium über die Zeit und erhält den effektiven Betrieb der Magneten aufrecht.
Eine schematische Darstellung des Kaltkopf-Kreises sehen Sie nachstehend:

Zusätzlich zur Regelung der Umgebungstemperatur um den MRT-Scanner herum muss Wärme während des Scannerbetriebs aus zahlreichen Prozessen abgeleitet werden:
- Ein Heliumkompressor wird zusammen mit dem Kaltkopf verwendet, um das gasförmige Helium vor der Rückleitung zum MRT-Magneten zu verdichten. Die Wärmelast vom Kompressormotor muss abgeleitet werden, um die Effizienz des Heliumkreises aufrechtzuerhalten.
- Der HF-Schaltschrank und die Verstärker erzeugen elektrische Wärme, die aus der Elektronik abgeleitet werden muss.
- Mithilfe der Direktkühlung um die Magnetspulen herum wird die Umgebungswärme abgeleitet und die Kühleffizienz des Magneten verbessert (ergänzt die Klimaregelung der Raumtemperatur).
Kaltwassersätze können in das MRT-System integriert werden, um Kälteleistung auf verschiedene Weise bereitzustellen. In den meisten Fällen wird der Kaltwassersatz in Kombination mit einem Wärmetauscherschrank (HEC) verwendet, der sich im Geräteraum befindet (vom Magnetraum getrennt). Der Wärmetauscherschrank enthält Wärmetauscher, die an die Wasserversorgung vom Kaltwassersatz angeschlossen werden können. Auf diese Weise werden von dem Kaltwassersatz indirekt mehrere Anwendungen versorgt.
Ein Beispiel für die Auslegung eines Wärmetauscherschranks sehen Sie nachstehend:

COMPUTERTOMOGRAPHIE
Was ist ein Computertomographie-Scanner?
Die Computertomographie (CT, auch als computerisierte axiale Tomographie, CAT bezeichnet) ist eine Scan-Technik, die mithilfe von Röntgenstrahlung Schnittaufnahmen des Körpers produziert. Die Bilder bieten im Vergleich zum Standard-Röntgen detailliertere Darstellungen von Körperstrukturen. Kliniken haben aufgrund der Bandbreite an Erkrankungen und Zuständen, die mithilfe der Computertomographie diagnostiziert werden können, einen hohen Bedarf an CT-Scans.
Der CT-Scanner arbeitet mit motorisierten Röntgenröhren, die um den Patienten bewegt werden. Die Röntgenstrahlen, die den Patienten durchdringen, werden von Detektoren aufgenommen, die die Daten zur Verarbeitung an einen Computer senden.
Warum werden Präzisions-Kaltwassersätze benötigt?
CT-Scanner erzeugen im Betrieb eine erhebliche Wärmelast. Die elektrischen Komponenten und Röntgenröhren in modernen Scannen nehmen bis zu >95 kW Leistung auf. Die überschüssige Wärme in der Scanner-Gantry muss nach Abschluss eines Scans abgeleitet werden, um den nächsten Scan einleiten zu können.
Ohne Kühlung kann es 20 bis 30 Minuten dauern, bis sich die Röntgenröhren ausreichend abgekühlt haben. Ein Kaltwassersatz reduziert die Kühldauer erheblich und schützt den Scanner vor Überhitzung. Dadurch werden der Patientendurchsatz sowie die Pflege- und klinische Effizienz deutlich verbessert. Unnötiger Wartungsaufwand infolge von Überhitzungen während des Prozesses wird ebenfalls vermieden, was zur Senkung der Gesamtbetriebskosten beiträgt.
WARUM PARKER KALTWASSERSÄTZE?
Die Hyperchill und Hyperchill Plus Kaltwassersätze bieten einen sicheren und zuverlässigen Betrieb unter variablen Betriebsbedingungen, wie z. B. im Brauereiwesen und bei der Destillation.
Die Designmerkmale der Parker Produkte können Anwendern im Brauereiwesen und in der Destillationsindustrie erhebliche Vorteile bieten. Die wichtigsten Merkmale und Vorteile für die Industrie sind wie folgt:
- Die Konfiguration mit einem großzügig bemessenen Wassertank in Verbindung mit einem überdimensionierten Kondensator/Verdampfer ermöglicht es dem Kaltwassersatz, seine Kälteleistung auch bei schnellen Veränderungen der Last und der Wassertemperatur aufrechtzuerhalten.
- Hohe Zuverlässigkeit mit Energiemanagement zur Senkung der Gesamtbetriebskosten.
- Optionen für niedrige Wassertemperaturen (bis zu -10 °C) zur verbesserten Kühlung erhältlich.
- Edelstahlgehäuse und IP-Schutzart ermöglichen den problemlosen Betrieb in von Feuchtigkeit und Nässe geprägten Brauereiumgebungen.
- Die Kaltwassersätze sind voll kompatibel mit Glykol-/Wasser-Gemischen für anspruchsvolle Anwendungen wie die Würzekühlung.